Mos prit me muaj në Angli për dentistin – Zgjidhje e shpejtë dhe cilësore në Tiranë gjatë pushimeve verore.
Jeton në Angli dhe po planifikon të vish në Shqipëri këtë verë? Është momenti ideal për të kujdesur për shëndetin e gojës.
Shumë shqiptarë që jetojnë në Britani po përballen me të njëjtin problem: radhë të gjata për takime dentare dhe çmime të larta për trajtime që në Shqipëri kushtojnë disa herë më pak.
Në Mbretërinë e Bashkuar, qoftë në sistemin publik (NHS), qoftë privat, mund të presësh muaj të tërë për një kontroll bazë. E ndërkohë që pret, problemi mund të përkeqësohet — nga një mbushje e thjeshtë në një rrënjë për t’u hequr. Pa përmendur koston që shpesh herë kalon mbi 1000£ për trajtime si implantet apo kurorat estetike.
Zgjidhja? Shërbime dentare në Tiranë gjatë pushimeve verore.
Nëse po vjen në Shqipëri këtë verë, mos e humb mundësinë të kombinosh pushimet me kujdesin për buzëqeshjen tënde. Klinika jonë, Finesa Dental, ofron një zgjidhje praktike, cilësore dhe ekonomike për shqiptarët që jetojnë jashtë.
Çfarë ofrojmë?
Kontroll i detajuar + Grafi panoramike (Panoramex) — realizuar në të njëjtën ditë, në të njëjtin vend
Implante dentare, ura, kurora, zbardhim, pastrim dhe mbushje me cilësi premium
Aparate estetike si Invisalign dhe ortodonci klasike
Mjekë me eksperiencë 30+ vjeçare dhe trajnime të vazhdueshme ndërkombëtare, përfshirë në Londër
Pa pritje. Pa stres. Shërbim i personalizuar.
E dimë që koha jote është e kufizuar gjatë pushimeve. Prandaj ne punojmë me rezervime paraprake, ku gjithçka planifikohet dhe është gati në ditën dhe orën që ti ke nevojë.
Vetëm na kontakto paraprakisht për të caktuar një takim falas, dhe ne kujdesemi për çdo detaj.
Besuar nga shqiptarët në mbarë botën
Çdo verë, qindra pacientë që jetojnë në diasporë, vijnë tek ne për të kryer shërbimet dentare që jashtë do t’u kushtonin shumë më tepër kohë, para dhe stres.
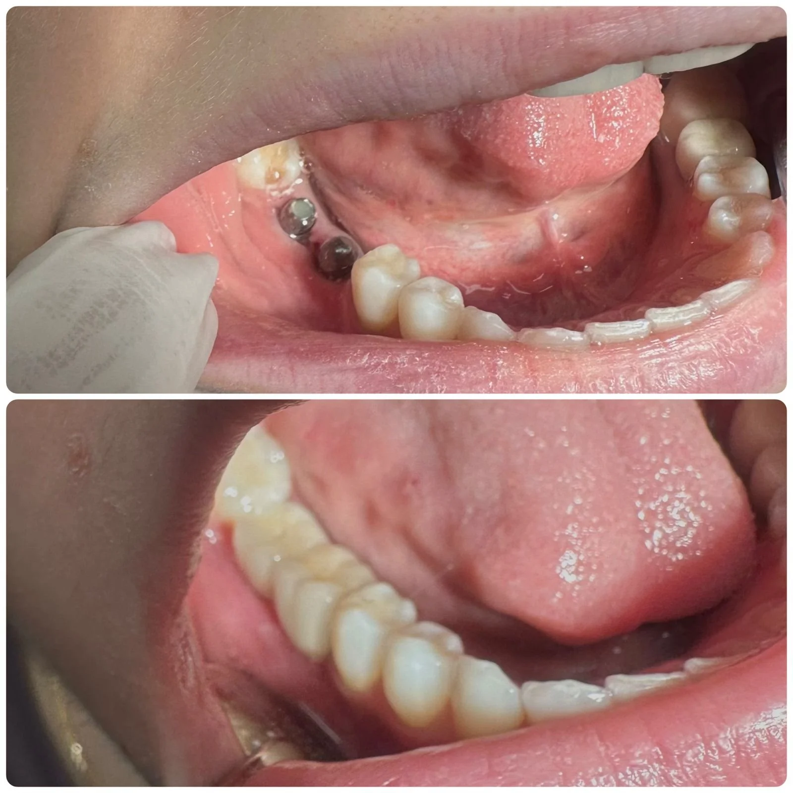
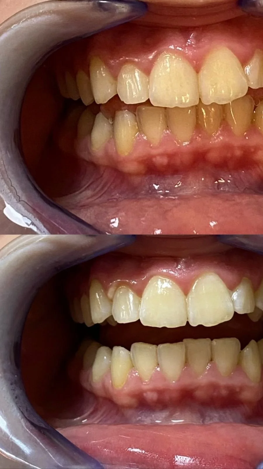
Raste “para & pas” që flasin vetë
Çdo vit, ne presim pacientë nga Mbretëria e Bashkuar, Gjermania, Italia, Zvicra dhe SHBA që vijnë me një problem dentar dhe largohen me një buzëqeshje të re, të ndritshme dhe të sigurt. Fotot “para dhe pas” të rasteve tona reale (të cilat mund t’i gjeni në klinikë ose në rrjete sociale) janë dëshmia më e mirë e standardit që ofrojmë. Shiko këtu disa transformime.
Çfarë thonë pacientët për ne?
Kush jemi ne?
Finesa Dental është një klinikë dentare moderne në Tiranë, me një histori familjare dhe eksperiencë prej më shumë se 30 vitesh në shërbim të buzëqeshjeve shqiptare — dhe jo vetëm. E themeluar nga Dr. Muhamet Ferizolli dhe Dr Albana Ferizolli, specialistë me një karrierë të gjatë në shëndetin oral, klinika është sot një ndër qendrat më të besuara për kujdesin dentar në Shqipëri.
Në zemër të misionit tonë është cilësia, korrektësia dhe kujdesi ndaj pacientit. Ne besojmë se secili meriton një buzëqeshje të shëndetshme.
Rreth nesh
Kur flitet për historinë e stomatologjisë në Tiranë, Finesa Dental është pjesë e këtij tregimi. Duke filluar udhën tonë që në vitin 1994, kemi qenë dëshmitarë dhe ndërtues të zhvillimeve dhe inovacioneve në këtë fushë. Themeluesit e klinikës sonë janë ndër pionierët e stomatologjisë në vend, duke ndërtuar një trashëgimi që mbartet me krenari nga brezi në brez.
Me një eksperiencë të pasur prej 30 vitesh, ekipi ynë ka ndërtuar një reputacion të lartë për përkushtimin dhe pasionin e tyre ndaj profesionit. Dedikimi i tyre shumëvjeçar, së bashku me një qasje njerëzore dhe të përkushtuar ndaj pacientëve, ka bërë që klinika jonë të jetë zgjedhja e parë për shumë pacientë kur bëhet fjalë për kujdesin dentar.
Një nga shtyllat kryesore të angazhimit tonë ndaj shërbimit të shkëlqyer është pjesëmarrja jonë aktive në konferencat ndërkombëtare të dentistrisë, veçanërisht ato në Londër, një qendër botërore e inovacionit në këtë fushë. Stafi ynë shkon përtej kufijve për të marrë njohuri dhe për të sjellë në Tiranë metodat dhe teknologjitë më të fundit dhe më të avancuara. Kjo jo vetëm që na ndihmon të ofrojmë trajtime të shkëlqyera për pacientët tanë, por tregon edhe se jemi një ekip që është gjithmonë në kërkim të përparimit dhe të përmirësimit të vazhdueshëm.
Kur zgjidhni klinikën tonë, ju zgjidhni një ekip të dedikuar që do të kujdeset për shëndetin tuaj oral me profesionalizëm dhe vëmendje të veçantë për detajet. Na vizitoni për një përvojë dentare të pakrahasueshme dhe për të kuptuar pse kaq shumë pacientë kanë besuar tek ne gjatë këtyre viteve.
Dentistry Show London, Mbretëri e Bashkuar
Stafi i klinikës në Dentistry Show, Londër
Stafi ynë është i përkushtuar ndaj zhvillimit profesional dhe ndjekjes së inovacioneve më të fundit në fushën e stomatologjisë. Kjo është arsyeja pse jemi pjesëmarrës aktivë në konferenca dhe trajnime ndërkombëtare, siç është "Dentistry Show London" në Londër, Mbretëri e Bashkuar. Kjo na mundëson të marrim njohuri nga ekspertët më të mirë në botë dhe të aplikojmë praktikat më të fundit në klinikën tonë, duke garantuar që pacientët tanë të përfitojnë nga një kujdes i bazuar në studime dhe njohuri të avancuara.
Çfarë na diferencon?
1 — Shërbimi Premium
Shërbimi Premium në klinikën tonë është më shumë se një standard - është thelbi i angazhimit tonë për të siguruar që çdo pacient të marrë trajtimin më të mirë dhe një përvojë të jashtëzakonshme.
2 — Eksperinca 30 Vjeçare
Eksperienca jonë 30-vjeçare nuk është thjesht një numër, por reflekton angazhimin, pasionin dhe inovacionin tonë të palodhur. Me çdo vit që ka kaluar, kemi kultivuar dhe zbatuar njohuritë dhe aftësitë tona, duke garantuar trajtime të klasit të parë dhe duke ndihmuar pacientët tanë të shkëlqejnë me buzëqeshjet më të bukura.
3 — Çmimet më të mira
Çmimet tona konkurruese reflektojnë një angazhim për cilësi dhe aksesibilitet. Pas një vlerësimi të hollësishëm të kostove dhe duke u përkushtuar të ofrojmë shërbime dentare të larta, kemi arritur të vendosim tarifa që janë deri në 10-15 herë më të lira krahasuar me ato në Mbretërinë e Bashkuar. Kjo strategji e çmimeve nuk është vetëm një dëshmi e angazhimit tonë për të bërë trajtimet dentare më të arritshme, por gjithashtu një pasqyrë e besimit tonë se çdo pacient meriton qasje në shërbime të cilësisë së lartë, pa ndonjë barrë financiare të paarsyeshme.
4 — Konsulta FALAS
Ne e kuptojmë se vendimi për të ndërhyrjet dentare mund të jetë një hap i madh për shumë njerëz, dhe për këtë arsye, ofrojmë konsulta FALAS për të gjithë klientët tanë. Kjo është një mundësi për të njohur stafin tonë, për të bërë një vlerësim paraprak të shëndetit dentar dhe për të diskutuar opsionet dhe procedurat e mundshme pa ndonjë presion financiar. Për ne, është një rast për të treguar përkushtimin dhe profesionalizmin që ofrojmë, ndërsa për ju, hapi i parë drejt një buzëqeshje më të shëndetshme dhe të ndritshme.
5 — Trajnimet Ndërkombëtare
Për ne, edukimi dhe zhvillimi profesional nuk janë thjesht kritere – janë pjesë integrale e angazhimit dhe përkushtimit tonë ndaj kujdesit dentar. Rregullisht marrim pjesë në trajnime ndërkombëtare dhe konferenca prestigjioze, duke përfshirë "Dentistry Show London" në Mbretërinë e Bashkuar. Këto trajnime na ofrojnë mundësinë për të njohur metodat dhe teknologjitë më të fundit, për të ndarë përvojën me kolegët ndërkombëtarë dhe për të forcuar praktikat tona në përputhje me standardet më të larta botërore. Përmes kësaj pjesëmarrje aktive, klinika jonë është gjithmonë në avangard të inovacionit dhe ekselencës në fushën e stomatologjisë.
6 — Dëshmitë e Suksesit
Secila prej buzëqeshjeve që rikthejmë ka një histori, një ndjenjë triumfi, dhe e vërteta është se ne jemi njësoj të emocionuar për të parë rezultatet sa vetë pacientët. Nëse dëshironi të shihni disa nga transformimet tona, hidhini një sy galerisë sonë 'Para/Pas' këtu.
Rezervo takimin tënd sot!
Kujdesu për buzëqeshjen tënde këtë verë. Zgjidh shërbim të shpejtë, me cilësi europiane, dhe me çmime shumë më të favorshme. Finesa Dental është këtu për ty.
Ku ndodhemi?
📍 Rruga Kamber Shevroja, pranë Rrugës “5 Maji”, Tiranë

